■ホワイトニング
歯を削って被せるのではなく、天然の歯を白くする方法です。ホワイトニングを行うことによって歯が弱くなるということはないのですが、数日痛みが出たり、知覚過敏が起こることがありますので希望されます場合は術前に検査を行い術後は予防を行います。
1. オフィスブリーチング
歯科医院で行う方法です。歯の表面にホワイトニング剤を塗布し特殊ライトを当てます。準備も含めて40分位かかります。漂白効果は1週間くらい続きますので1週間後再評価し、より白くしたければ2回目を行います。
2. ホームブリーチング
ご自宅で行う方法です。
1回目の歯の型を採り、2回目に歯に合わせて作製したトレーとホワイトニング剤をお渡しします。ご自宅で1日約2時間ほど装着し2週間使用して頂きます。2週間後再評価し(写真を撮り比較)より白くしたければ2回目を行います。
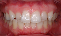
Case

Before

After
(オフィス2回施行)
▽他の診療科目を見る
- 虫歯についての詳細
- 歯周病についての詳細
- 歯科口腔外科についての詳細
- インプラントについての詳細
- ホワイトニングについての詳細
- 審美歯科についての詳細
- 予防歯科についての詳細
- 補綴物の種類


